Cell lab summary with slides labelled and unlabelled for practice:
Spinal cord

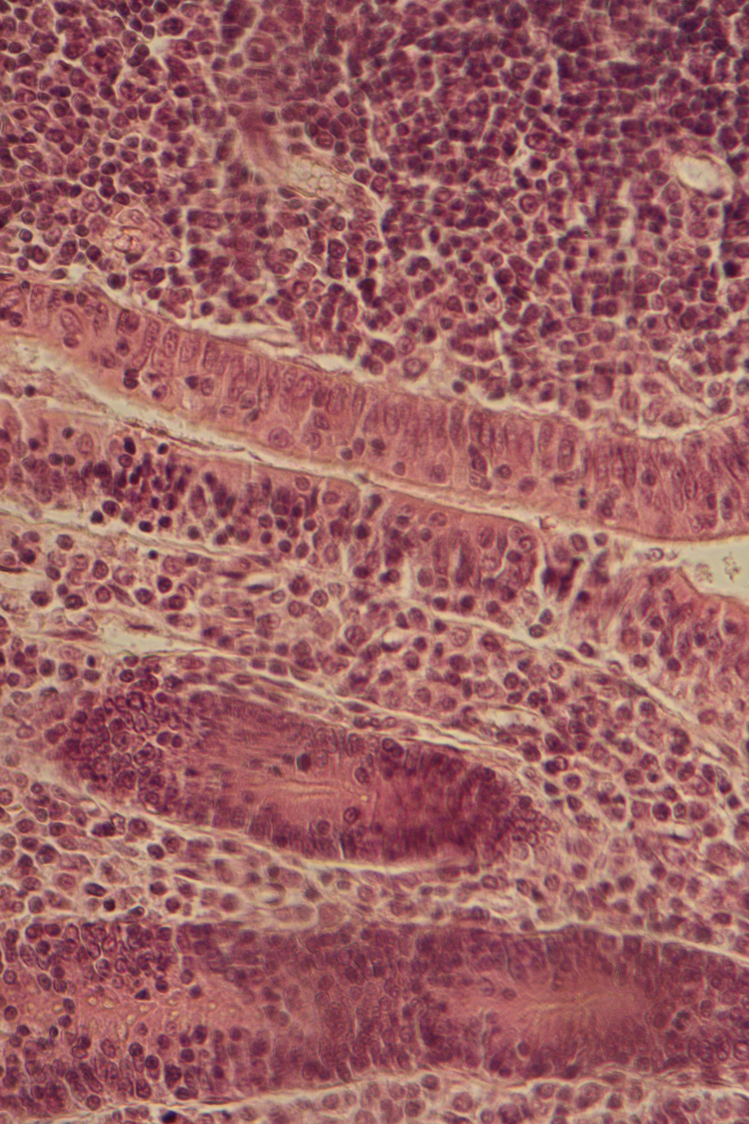
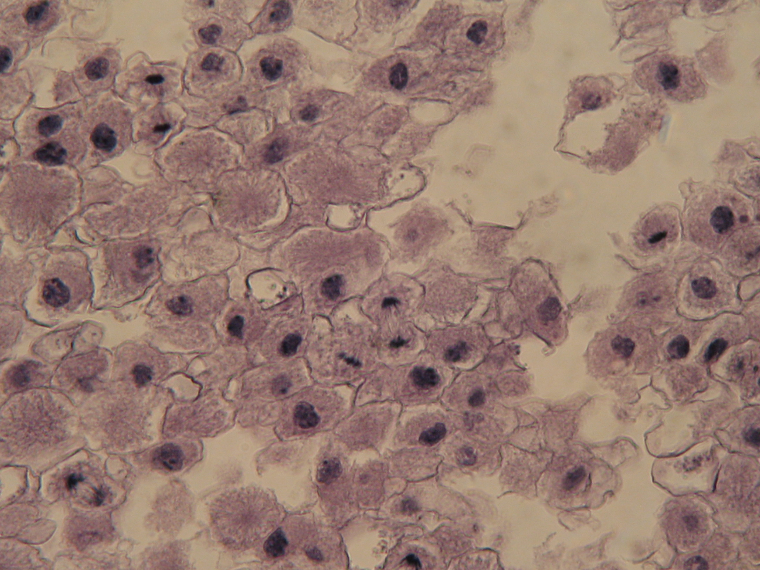
Fish Blastula – cells in various stages of mitosis

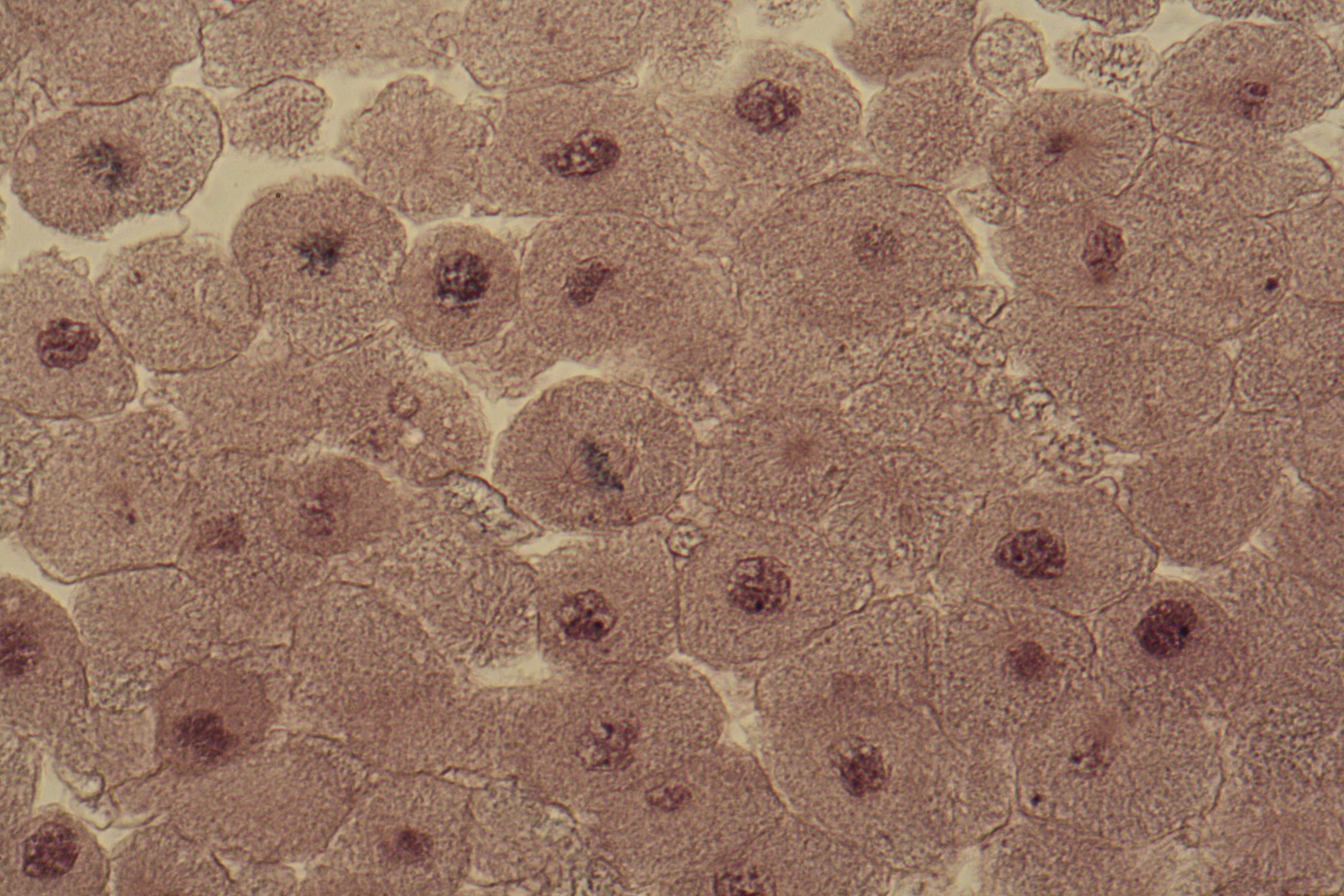
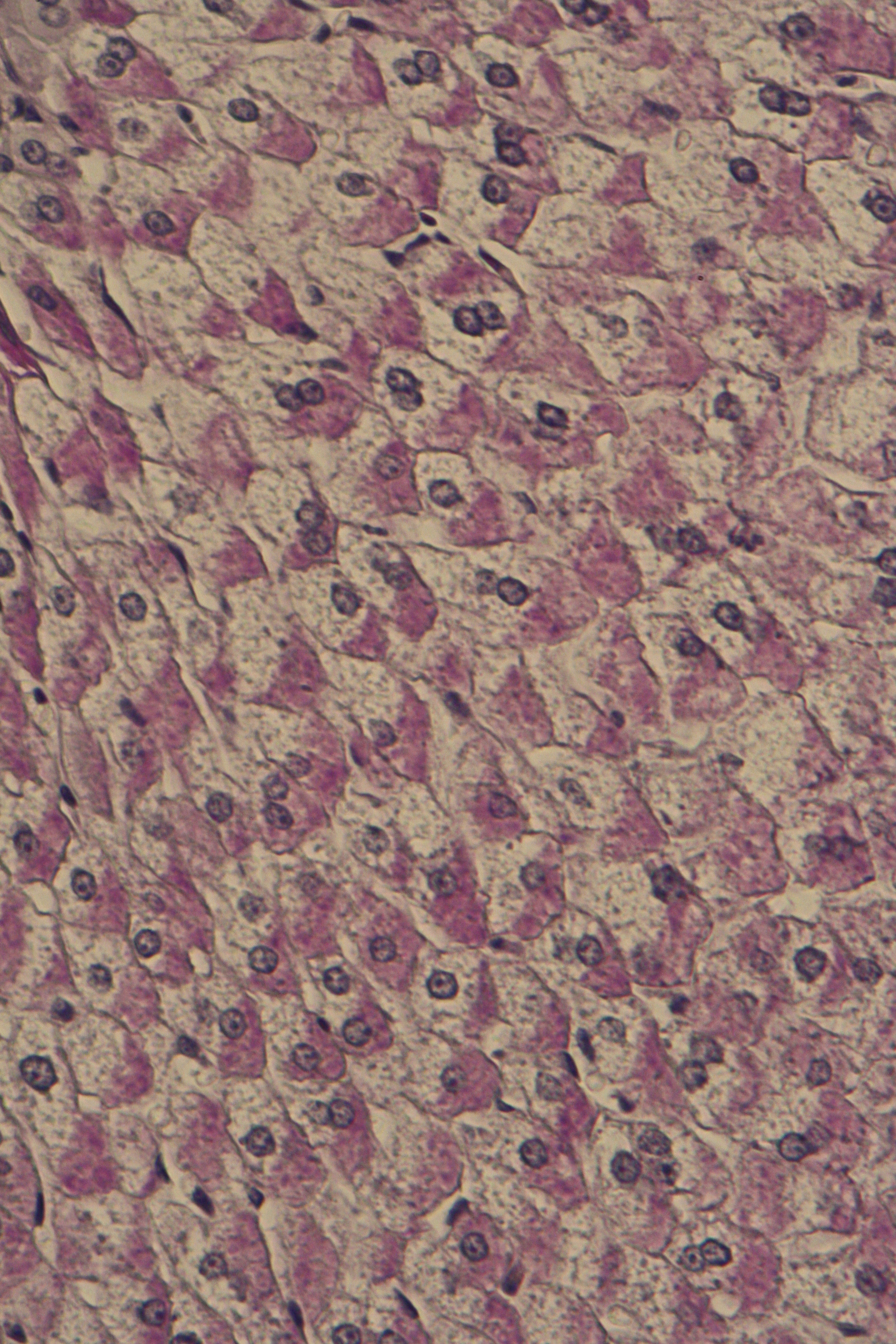
Liver with Kupffer cells

Dorsal root ganglion

Cerebellum with cytoskeletal filaments

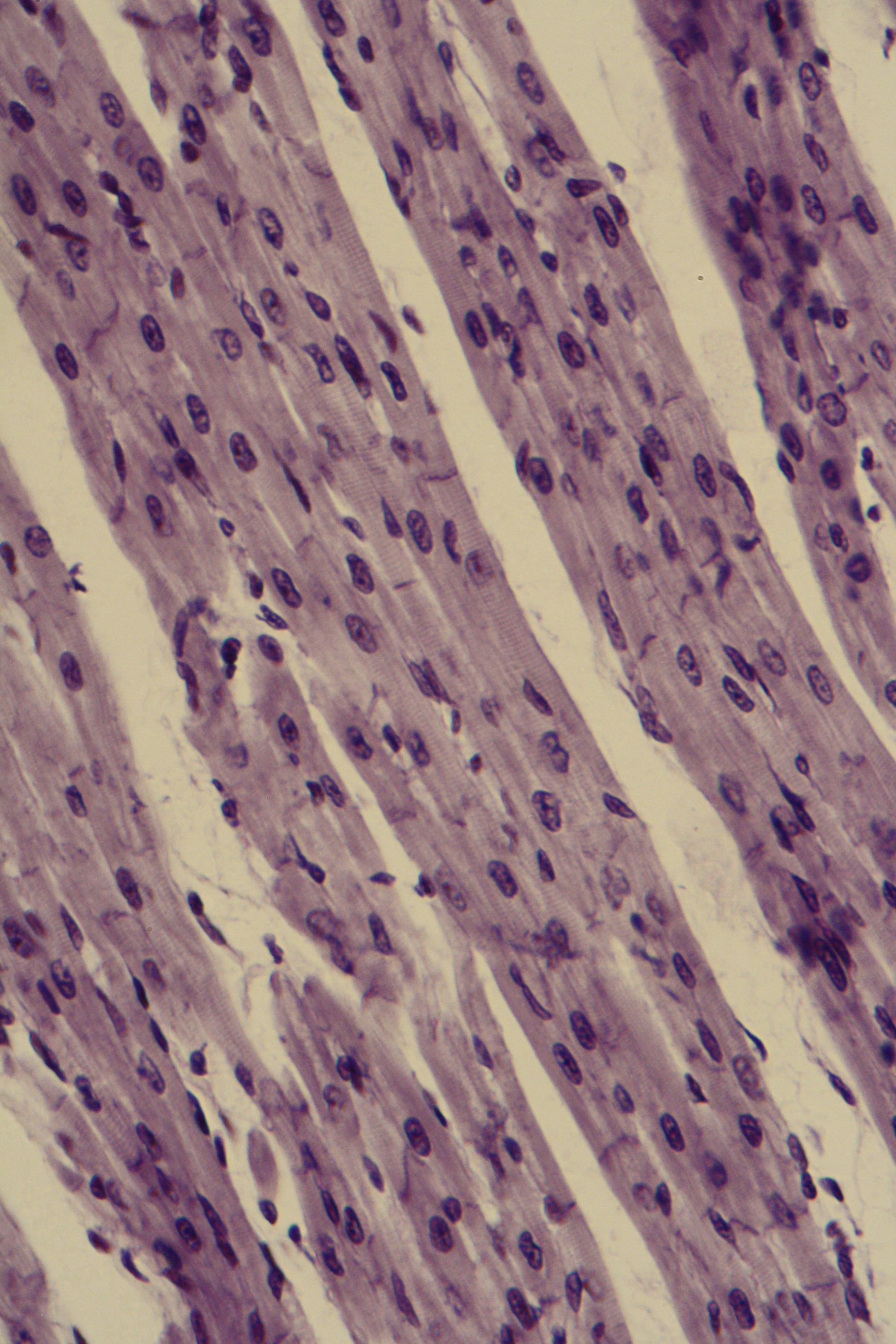
The next two show cardiac cells with intercalated disks.


Ascaris with centrioles

Adrenals with smooth endoplasmic reticulum

Frog sperm with flagellae

Generalized animal cell

Dorsal root ganglion with golgi apparatus

Ileum with desmosomes



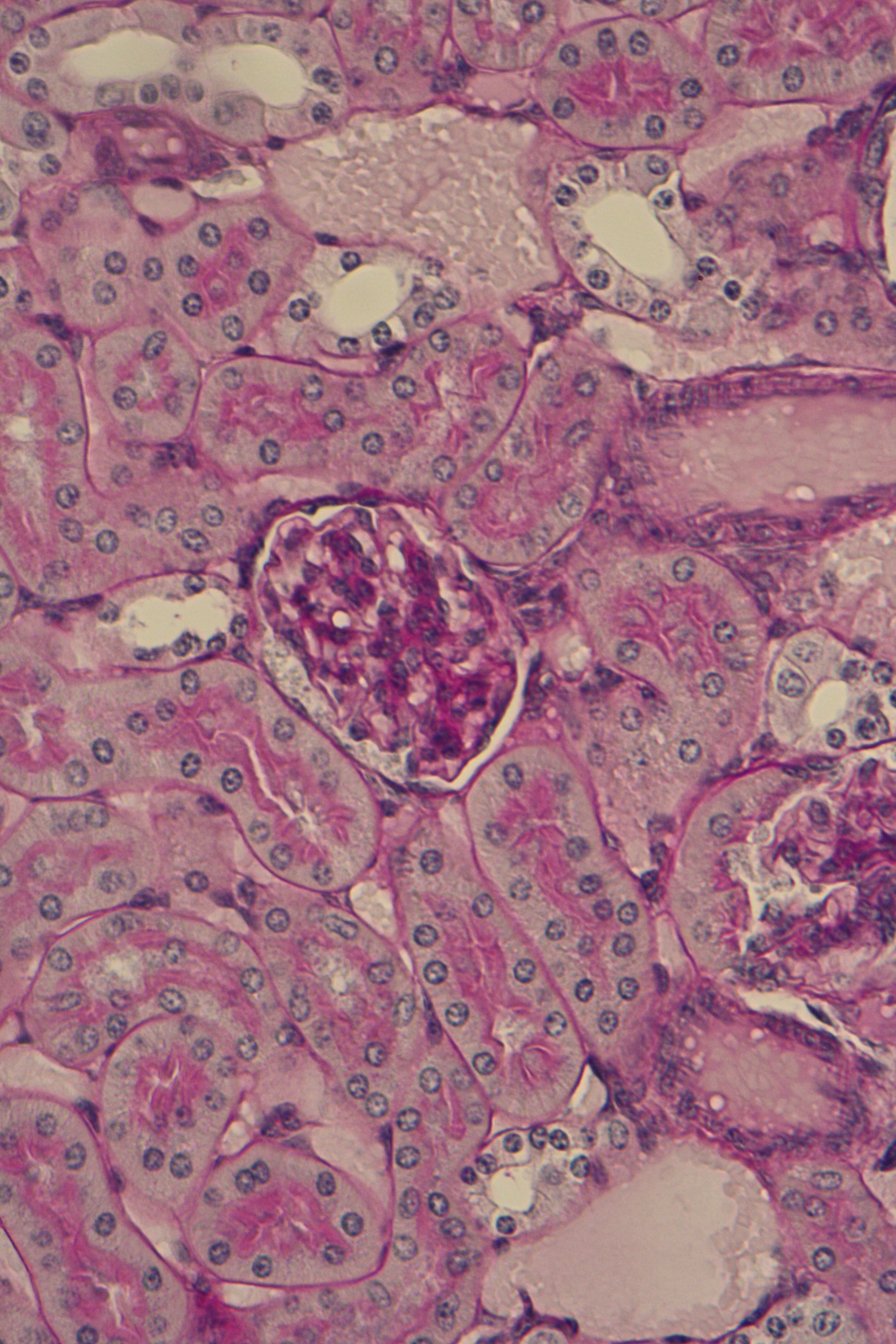
Kidney with basement membrane

Liver with stored glycogen

Liver with lysosomes

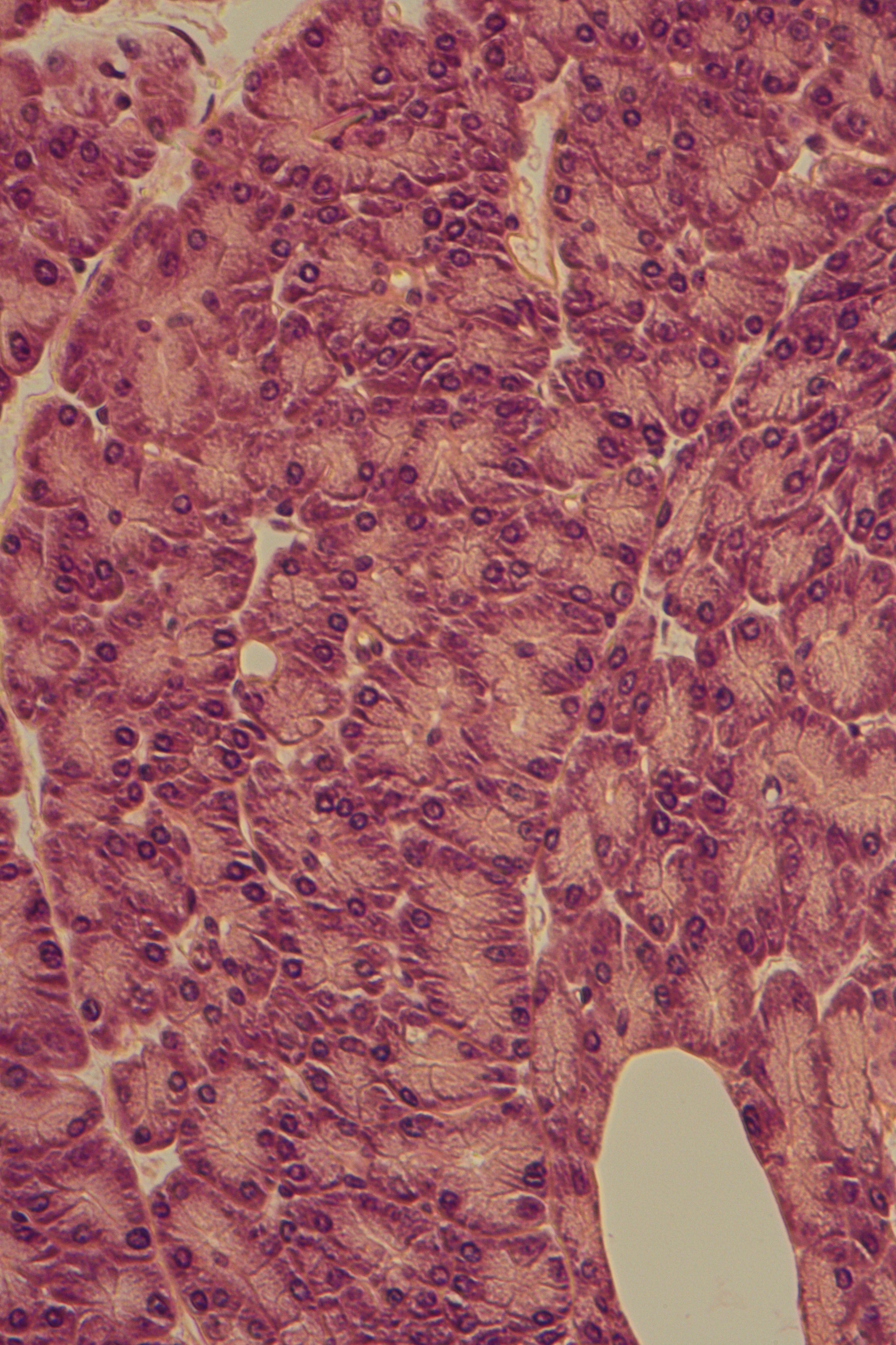
Liver with macrophages – kuppfer cells

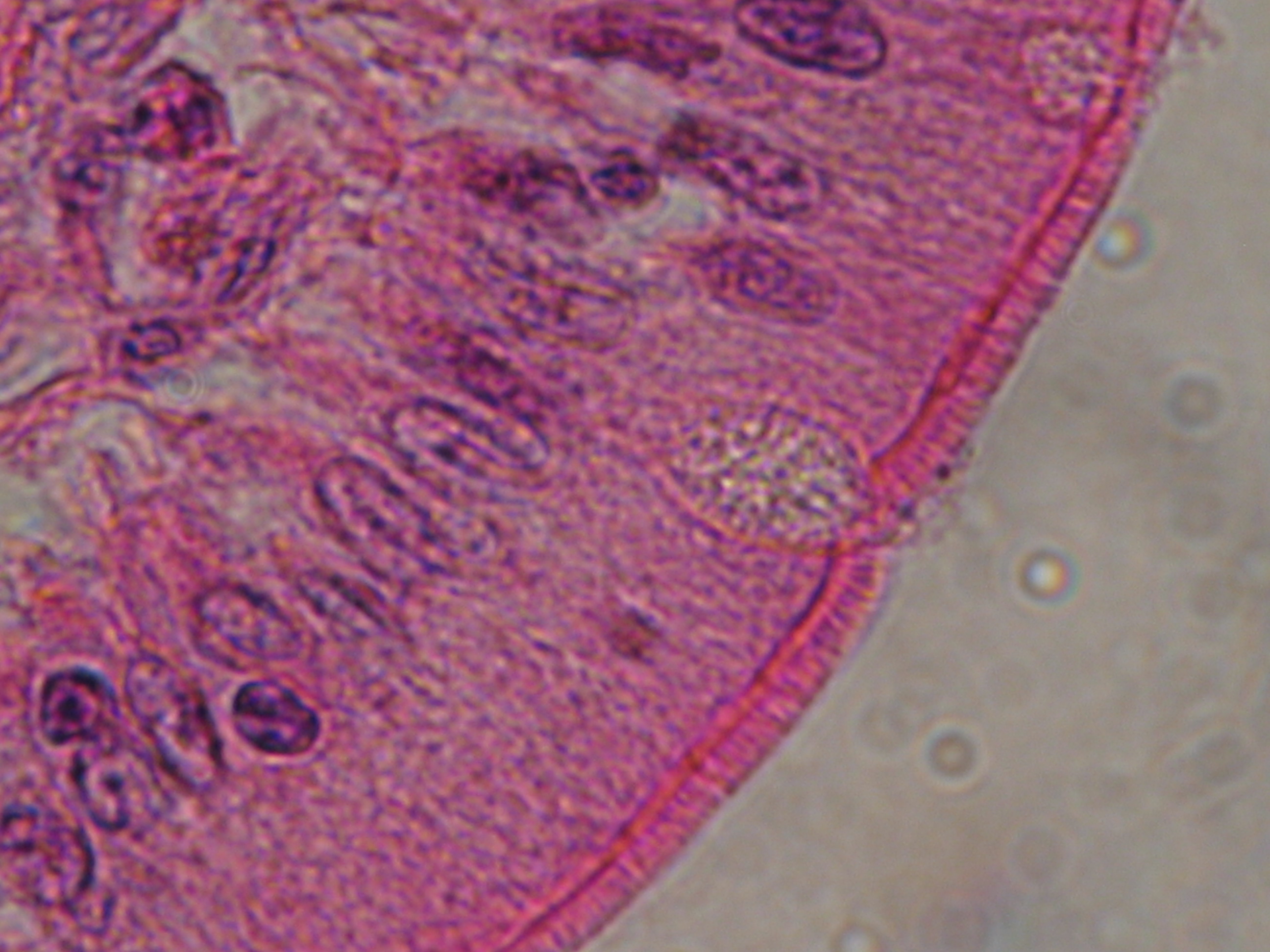
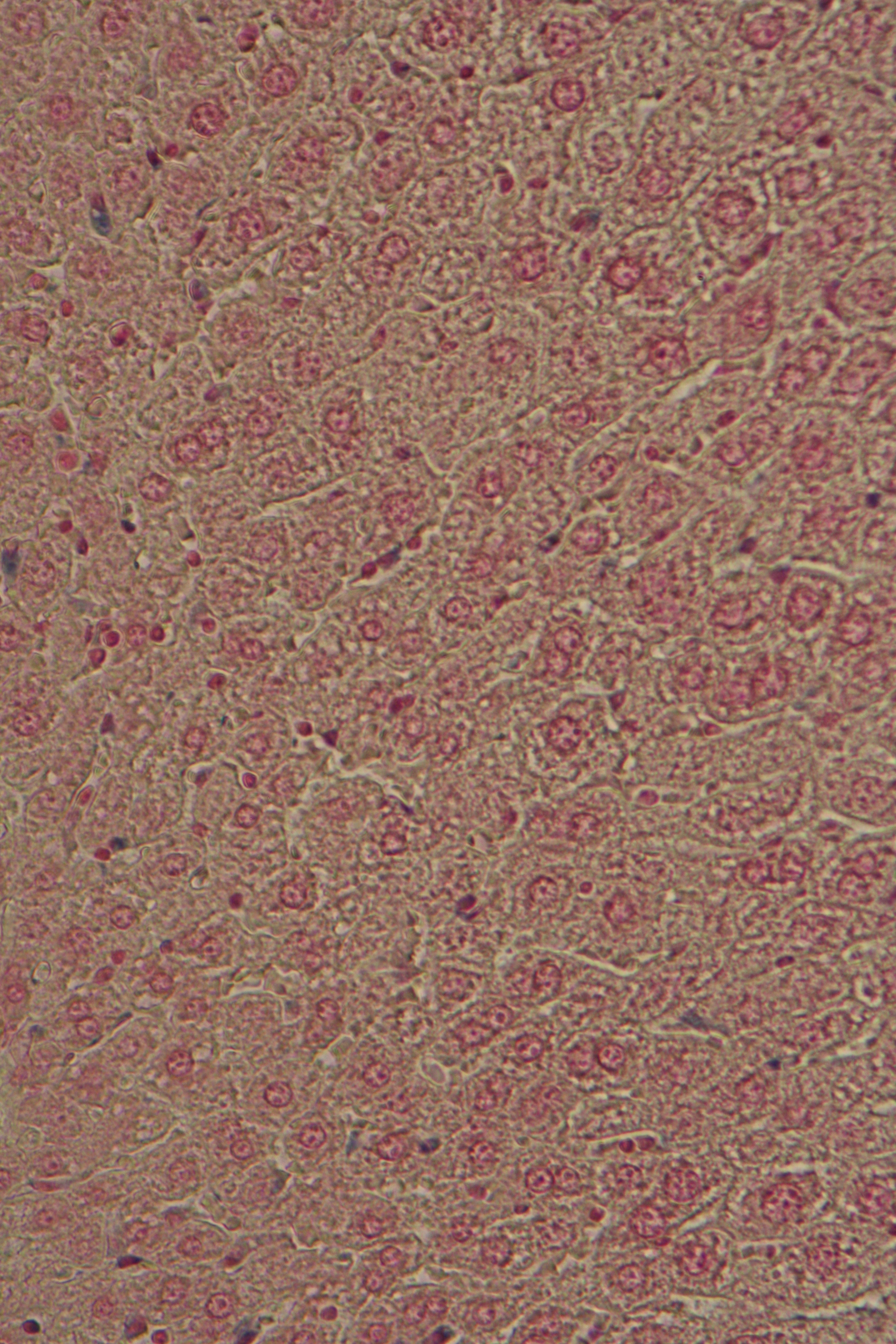
Liver with mitochondria


Pancreas with exocytic vesicles

Psuedostratified columnar epithelium
Whitefish blastula cells in different stages of mitosis.

